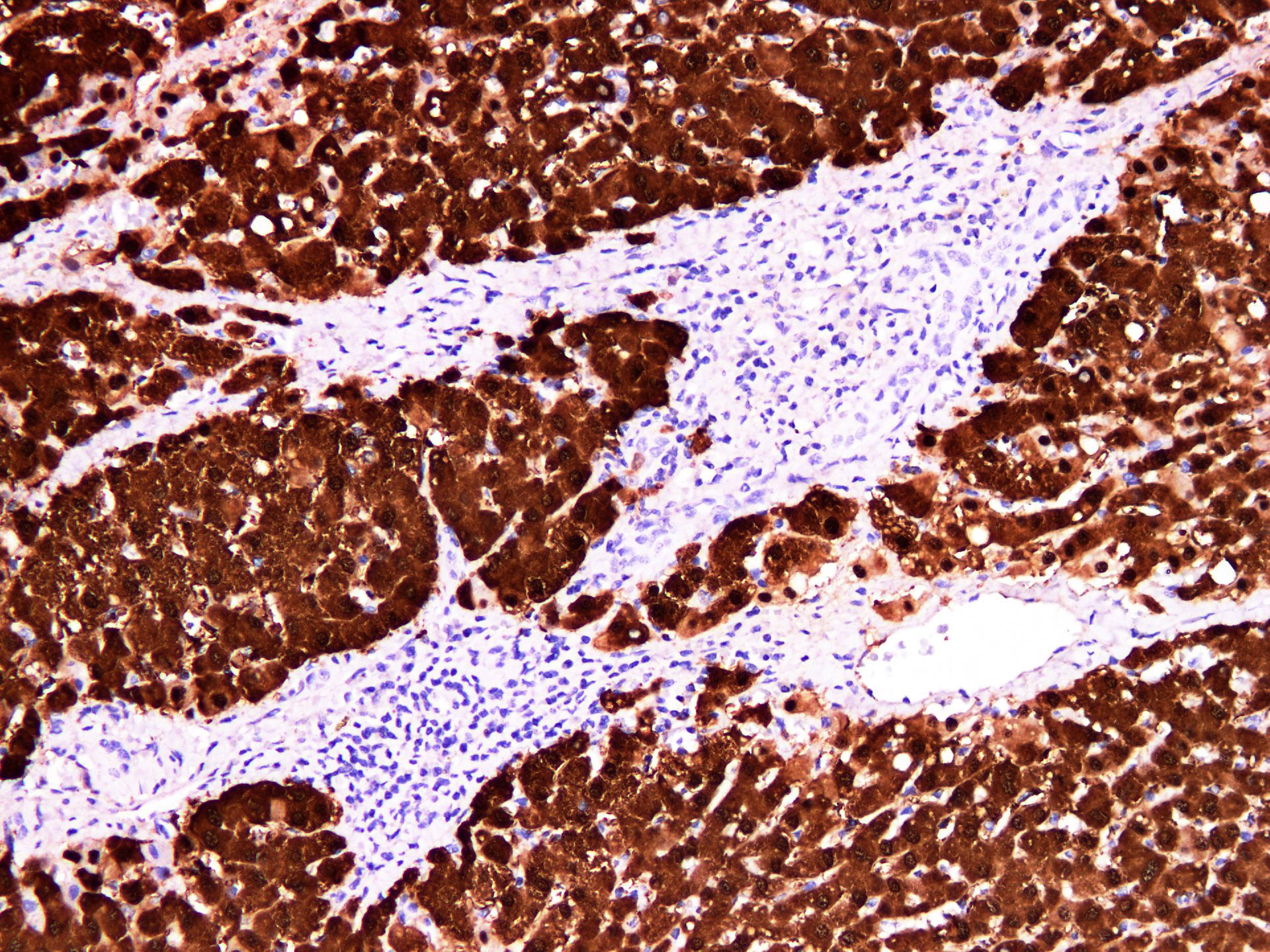
Arginase-1
Product Information
Cat:PA6685
Clone NO:YN00096m
Application:IHC-P
Positive cellular localization: Cytoplasm/nucleus
Reactivity: Human
Host: Mouse
Background
Arginase-1 is encoded by ATG1 gene, it is a key urea cycle metalloenzyme. Arginase-1 has a high specific expression in normal human liver, which is a sensitive and specific index of benign and malignant hepatocytes. In normal liver, there is no response in bile duct epithelial cells, sinusoidal endothelial cells, Kupffer cells or vascular endothelial cells.

Formalin-fixed, paraffin-embedded (FFPE) Human Liver cancer tissue with Arginase-1 Monoclonal Antibody.