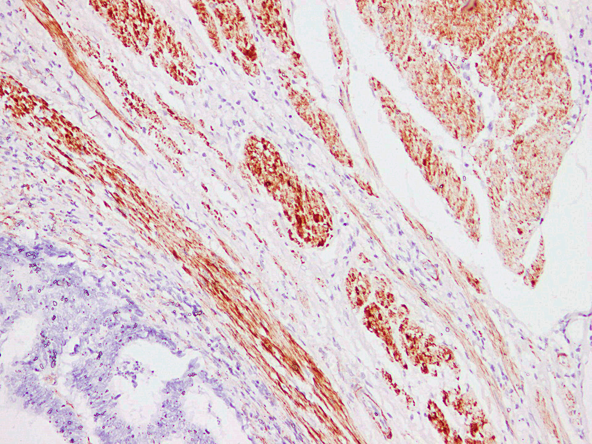
Caldesmon
Product Information
Cat:PA6006
Clone NO:YN00146m
Application:IHC-P
Positive cellular localization: Cytoplasm
Reactivity: Human
Host: Mouse
Background
Caldesmon is a smooth muscle regulatory protein that interacts with actin, myosin, tropomyosin and calmodulin. Caldesmon antibody can label smooth muscle and smooth muscle tumor and it can be used to distinguish between smooth muscle and myofibroblast tumor, or between leiomyoma and endometrial stromal tumor. Caldesmon can be used as a marker for the identification of epithelioid mesothelioma, and has been used to distinguish between epithelioid mesothelioma and ovarian serous papillary carcinoma.

Formalin-fixed, paraffin-embedded (FFPE) Human Colon cancer tissue with Caldesmon Monoclonal Antibody.