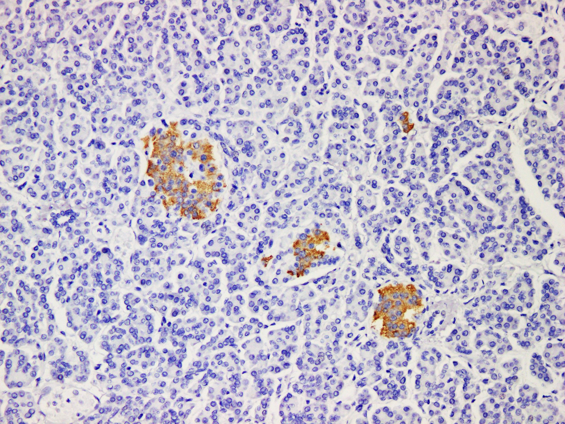
Insulin
Product Information
Cat:PA6638
Clone NO:YN00986m
Application:IHC-P
Positive cellular localization: Cytoplasm
Reactivity: Human
Host: Mouse
Background
Insulin is a hormone secreted by islet cells, which can reduce blood glucose concentration. Insulin Monoclonal Antibody is mainly used in the functional classification of insulinoma.

Formalin-fixed, paraffin-embedded (FFPE) Human Pancreas tissue with Insulin Monoclonal Antibody.