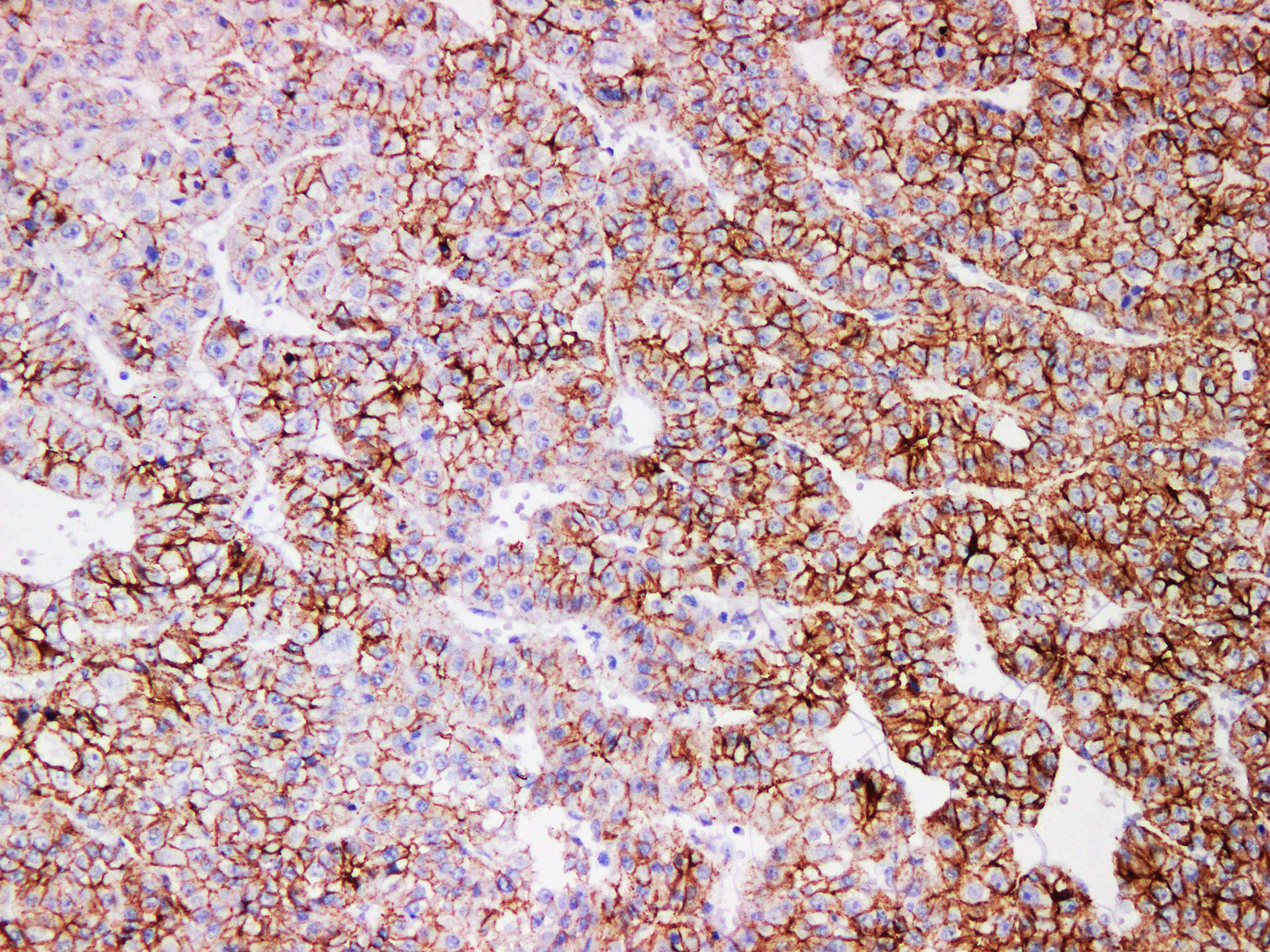
N-Cadherin
Product Information
Cat:PA6203
Clone NO:YN01186m
Application:IHC-P
Positive cellular localization: cell membrane
Reactivity: Human
Host: Mouse
Background
N-cadherin is mainly expressed in nerve cells, endothelial cells, muscle cells and early hematopoietic stem cells. In addition, it is expressed in a variety of tumors such as mesothelioma, chordoma, synovial sarcoma, malignant melanoma, epithelioid sarcoma, epithelioid angiosarcoma, endometrial tumor and serous tumor of ovary. It can be used to distinguish mesothelioma from adenocarcinoma.

Formalin-fixed, paraffin-embedded (FFPE) Human Liver cancer tissue with N-Cadherin Monoclonal Antibody.